マスク生活が長くなり、マスクの中の、自分の口臭が気になる
人も増えたのではないでしょうか。
マスク生活で起こる口臭の原因はいくつかあります。
1息苦しさから、口呼吸になり、口の中が渇きやすくなる
2会話が少なくなり、舌の筋力が落ち、舌が下あごに落ちる、落ちベロの
状態になっている
3ストレスで交感神経が優位になり、唾液量が減る
このような原因が考えられます。
対策1
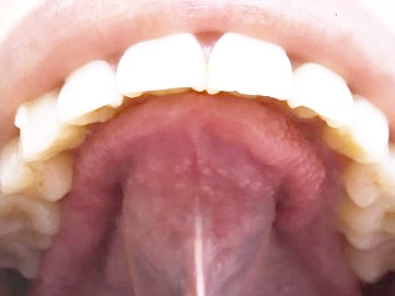
舌掃除 本来舌が上顎についていれば
自然に上顎の粘膜と舌が擦れて、掃除が出来ます。
マスク状態で舌が上顎から離れる、舌落ち状態になっているかもしれません。
そこで、舌をあごに10回ほどこすりつけ、表面に溜まった舌苔を取りましょう。
そして大切なことは舌の位置を上顎につけることを常日頃から
意識していきましょう。

対策2
両耳手前上部、骨の上の小さなくぼみに唾液が出る耳下腺があります。
ここを指の腹で10秒ほど押しましょう。
この唾液は、成長ホルモンパロチン含むので、美肌効果もあります。
対策3
少しの水で、高速うがいを30秒しましょう。
IZATO整体院
院長 猪里理世